Eye Lift Before and After Pictures
Select Procedures:
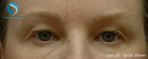
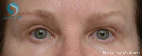
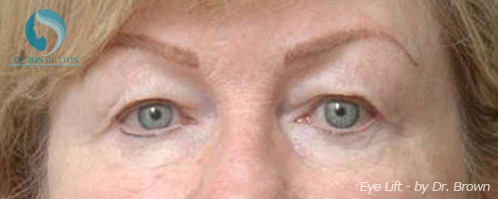
Upper Eye Lift
Before
After
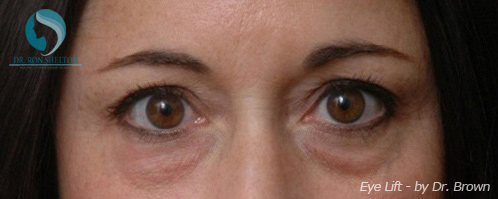
Upper & Lower Eye Lift
Before
After
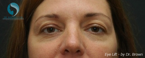
Upper & Lower Eye Lift
Before
After
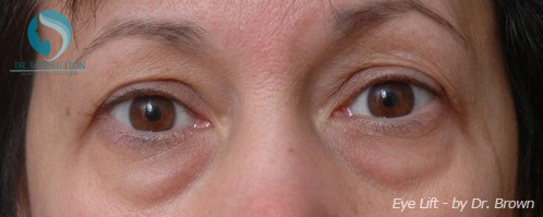
Upper & Lower Eye Lift
Before
After
Upper Eye Lift
Before
After
Upper Eye Lift
Before
After
Upper & Lower Eye Lift
Before
After
Disclaimer: These patients demonstrate results unique to their case and no patient can be guaranteed excellent results